
地球上の環境と重力で進化した私達の体が宇宙空間にでるとどのような影響があるのか。その一つ、脳について米大学によると脳が圧搾(あっさく)された状態になっていることがわかったとのことです。
長期間の無重力状態を経験した宇宙飛行士は、脳に変化が起きて締め付けられたような状態になっているという研究結果が、1日の医学誌に発表された。米サウスカロライナ医科大学などの研究チームは、宇宙へ出発する前と地球に帰還した後の宇宙飛行士の脳を、磁気共鳴断層撮影(MRI)で検査した。その結果、長期滞在した宇宙飛行士の大部分は脳に変化が起きていることが分かった。この研究では長期滞在を含む宇宙飛行士ら34人(男性28人、女性6人)を対象に宇宙に行く前と帰還した後で脳のMRI検査しその差を確認したものです。それによると、平均滞在日数13日前後の短期滞在の宇宙飛行士では21人、平均滞在日数165日前後の宇宙飛行士は18人でした。
CNN.co.jp
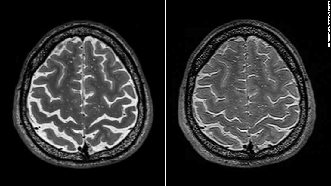
▼長期滞在した宇宙飛行士の脳(左)、右は滞在前に撮影したもの

そのうち頭頂葉と前頭葉の境界にあたる『中心溝』と呼ばれる溝の幅が狭くなっていたのは短期滞在者は3人、長期滞在者は17人。頭頂部の脳脊髄液空間が狭くなっているのは短期滞在者が1人、長期滞在者は12人となりました。また長期滞在者のうち3人に関しては視覚障害頭蓋内圧症候群を発症しており何れも中心溝が狭くなっていたとしています。
中心溝はその前方側が体の筋肉を動かく信号を出している部位、後方側が一次感覚野という文字通り感覚情報を受取る部位となっています。
現在のなぜこのような圧搾がおこっているのかは明らかになっていたいものの無重力環境にさらされることで体液の流れが変化し脳の上方移動と脳脊髄液の変化が加わることでこのような現象が発生しているのではないかと仮説をたてています。
また圧搾は長期滞在が続けば続くほど悪化するのかそれとも一定に留まるのか、地球に帰還後に圧搾が元に戻るのかそれともそのままになるのは今後調べる必要があるとしています。
現在、有人火星探査では火星へ向かう日数にだけでも200日以上(火星探査車キュリオシティは片道253日)となっておりミッションを成功させるためにも人体への影響を最小限に抑える必要がありため人体の研究は積極的に行われています。
